院長紹介
Director
院長 黒崎 俊一歯学博士、補綴専門医
| 経歴 | 平成4年3月 日本大学大学院 補綴専攻 卒業 平成8年11月~ 医療法人社団 アーユス くろさき歯科 勤務 歯学博士 |
|---|---|
| 所属団体 |
|
| 掲載書籍 | はつらつ元気2009 8月号 ![]() |
くろさき歯科の6つの特徴
6 points
01
様々な種類の入れ歯から、
あなたに合った入れ歯をご提案します
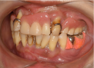
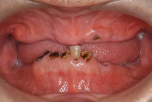
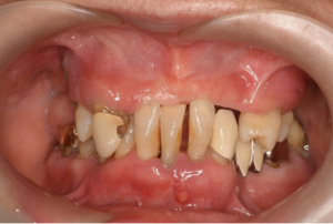
当院は仮の入れ歯をお作りして、本入れ歯の作製に移ります。仮の入れ歯をお使いの間に見た目の美しさを重視するのか、機能を重視するのかなどをお聞きし、様々な入れ歯をご要望に応じて提案していきます。
02
虫歯も歯周病も
一つの医院で対応できます
むし歯や歯周病を含めた治療計画を立てて治療するため、院内で総合的な対応が可能です。担当ドクターはむし歯・歯周病それぞれの学会に所属しております。
03
患者さまにわかりやすい
説明をしています
初回のご相談時間をたっぷり60分取っています。入れ歯治療といっても、患者さま一人一人のお口の状態は異なっています。歯並びやかみ合わせの状態によって、入れ歯の種類や治療の方法が変わってきます。これらの方法について、画像や写真を使って、各診療台に設置したモニターで説明し、納得していただいた上で治療を行っています。
04
口の中だけでなく、
体全体を診る治療を行います。
カラダのバランスが崩れている状態で入れ歯をつくると、いずれ合わなくなってしまいます。そこで当院では入れ歯を作る前に整体で骨格筋のゆがみもチェックします。整体師や臨床心理士も在籍し、体と心を幅広く考慮しながら、治療計画を立案します。
05
長く使える入れ歯を
作っていきます。
ご病気などで歯茎が痩せてしまうことがあります。そんなとき、当院では中側の歯茎の部分に裏打ちをして、またお使いできるように体制を整えています。
06
分割払いや
医療費控除ができます。
クレジットカードによる分割払いやデンタルローンも可能です。医療費控除制度の利用もできます。また、費用に関してご不明な点がある患者さまは、当院のスタッフまでお気軽にご相談ください。
尚、10回まで無金利対応させていただいております。また、︎分割払い手数料は「くろさき歯科」が負担いたします。










